「進行すると膝に水がたまり…」 2400万人が悩む「変形性膝関節症」を自分で治す方法
放っておくとだんだん痛みがひどくなり、気が付けば歩くことも困難になってしまう。変形性膝関節症は高齢化社会で増え続けている国民病だ。ギクッときたら発症のサインなのか。セルフチェックの方法から、早期に治すストレッチまで渡辺淳也医師が教えてくれた。【渡辺淳也/医療法人淳朋会変形性関節症センターセンター長】
***
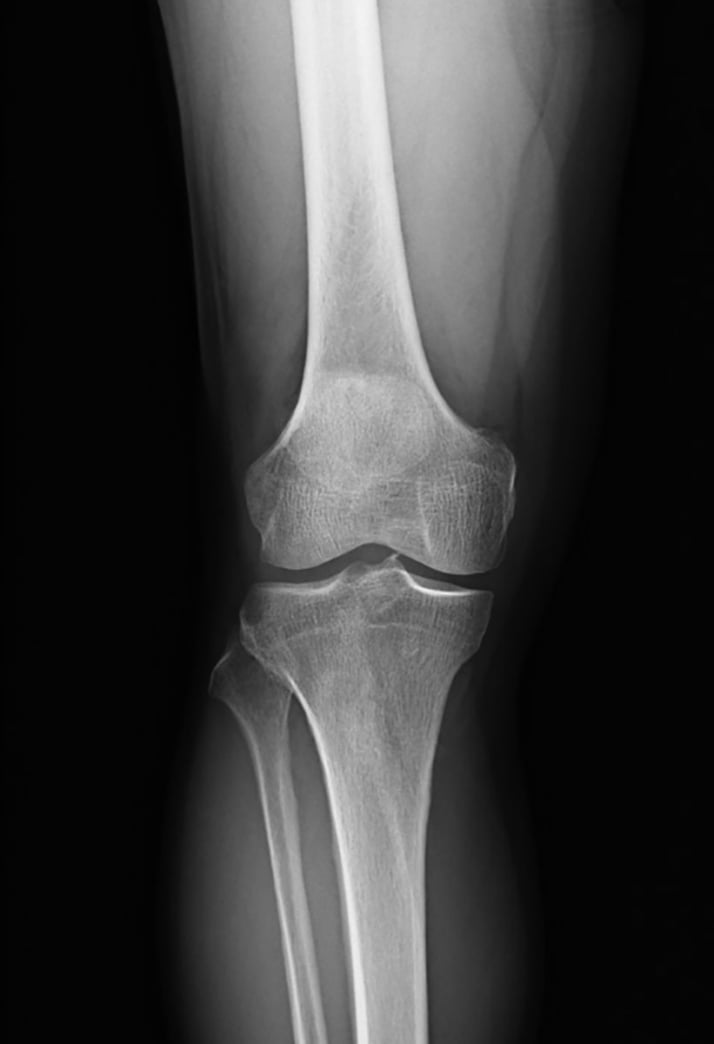
【写真を見る】健常者と「変形性膝関節症」患者のレントゲンを比較
皆さんの中に、最近、立ち上がったり、階段の昇り降りをすると、膝がギクッと痛くなった経験をお持ちの方はいませんか。「年を取ったせいかな」と思ったりするけれど、しばらくすると痛みが消えてしまうので忘れてしまいがちです。しかし、それは「変形性膝関節症」の始まりかもしれません。
変形性膝関節症とは、どんな病気なのでしょうか。基本的に膝関節の軟骨がすり減ってしまうことで起き、長い時間をかけて進行します。初期の特徴は、動き出しの際に痛むことです。医学的には「スターティングペイン」と呼ばれ、最初はこのような症状が年に何度か起きる。しかし、時間がたつにつれ痛む頻度が増え、安静時でも痛みが続くようになる。進行すると膝に水がたまり始め、まっすぐだった脚が曲がってきます。
このぐらいになると、常に痛いので、外出するのが嫌になってくる。膝の曲げ伸ばしもやらなくなるので、関節が固くなり、筋肉が衰える。ちょっとした買い物も行けず、トイレや、お風呂に入るのもひと苦労です。いつの間にかつえが手放せなくなり、やがて車椅子の生活というパターンに陥ってしまう。
患者は2400万人
医学的に、日常の生活動作がどのぐらいできるかを「ADL」と呼んでいますが、変形性膝関節症が進行するとADLが悪化し、自立した生活ができなくなってしまうのです。
いやいや、自分はどこでも歩いてゆけるし、まだ階段もさっさと上れる。そんな病気とは縁がないと思っている方もいるでしょう。しかし、変形性膝関節症は、静かに進行していくため、患者数は思っているより多い。私の病院にやってくる患者さんは年々増えており、その数は減る気配がありません。
ちょっと驚かれるかもしれませんが、2005年に東京大学が行った疫学調査では、わが国で変形性膝関節症の中高年の方が約2400万人いるというデータがあります。一方「膝が痛い」と私の病院にやってくる患者さんの9割は変形性膝関節症を起こしていますので、いかにこの病気が多いか分かると思います。
やっかいなことに40歳を過ぎると、一度すり減ってしまった軟骨はなかなか再生しません。長寿大国と呼ばれる日本は、65歳以上の人口が約3600万人で、これからも増えてゆきます。高齢化社会の進行とともに、必然的に増加する病気であり、今では膝痛を代表する「国民病」といえます。
もちろん、歩行障害を起こすほど重症になったとしても、人工関節の手術をすることで歩けるようにはなります。しかし、現代医学では、手術できても、正座したり、激しい運動は無理といわれている。できるなら早めに病気の進行を察知して対策を講じた方がいい。先ほど、「一度すり減ってしまった軟骨は再生しにくい」とお伝えしましたが、変形性膝関節症は、対策によって進行を遅らせたり、痛みをやわらげることができるのです。
では、ズキッときたら、どうすればいいのでしょう。それを解説する前に、膝の内部がどうなっているのか説明しましょう。少し難しいですが、病気のメカニズムを理解する上で大事なところでもあります。
[1/5ページ]



