情報提供
メルマガ登録
トップ
新着
人気
話題
社会
政治
国際
エンタメ
ライフ
ビジネス
スポーツ
連載
無料マンガ
ドクター新潮
「週刊新潮」に情報提供する
デイリー新潮とは?
広告掲載について
お問い合わせ
著作権・リンクについて
ご購入について
免責事項
プライバシーポリシー
データポリシー
運営:株式会社新潮社
Copyright © SHINCHOSHA All Rights Reserved.すべての画像・データについて無断転用・無断転載を禁じます。
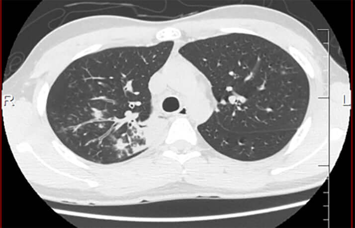
4枚目/4枚中
社会2025年11月04日
マイコプラズマに感染した患者の体内
メールアドレス
利用規約を必ず確認の上、登録ボタンを押してください。